Communauté
Doc' in Normandie
Cellule cancéreuse : comprendre et combattre
Pour la 12ème année consécutive, le festival "Pint of Science" pousse les scientifiques hors de leurs laboratoires et les emmène dans les bars durant 3 jours, pour exposer leurs travaux de recherche au grand jour, discuter et surtout partager avec le grand public. Rendez-vous à la Scène des Halles (Cherbourg-en-Cotentin) le 21 mai 2025 avec Juliette Jenzer et Sophie Lagalle pour en savoir plus sur la lutte contre le cancer !
"Il vaut mieux connaître son ennemi pour mieux le combattre !", comme dit l'adage. C'est ce que nous propose les deux intervenantes durant cette soirée durant laquelle nous comprendrons mieux ce qu'est une cellule tumorale et quelles sont les nouvelles approches thérapeutiques pour les éliminer.
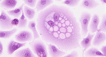
CELLULES CANCÉREUSES :
DU DÉPISTAGE AU DIAGNOSTIC
Chaque cancer est unique. Ces maladies complexes ont pour caractéristique commune : la croissance incontrôlée de cellules tumorales.
Juliette Jenzer, Technicienne au Laboratoire d'anatomopathologie et cytologie pathologiques du Centre hospitalier public du Cotentin (CHPC) étudie les tissus, les cellules et leurs anomalies afin d’orienter les décisions thérapeutiques. Elle donne une interprétation diagnostique, qui tient compte de la clinique, de ce que l’on observe au microscope et des techniques complémentaires.
TRAITEMENTS SYSTÉMIQUES CONTRE LE CANCER
La lutte contre le cancer a beaucoup progressé ces dernières années. On a désormais une meilleure compréhension du développement des cancers, ce qui permet de proposer des traitements toujours plus efficaces et mieux adaptés au profil de chaque patient et de sa tumeur, en générant le moins d'effets secondaires possibles. Faîtes le point avec Sophie Lagalle, Infirmière en pratique avancée spécialisée en onco-hématologie au Centre hospitalier public du Cotentin (CHPC).
> Je réserve ma place <
Cette rencontre est organisée dans le cadre du festival "Pint of science". Retrouvez tout le programme des rencontres en Normandie sur COGITO Normandie.
Crédits : National Cancer Institute (Unsplash, Licence CC).
Actualités, rendez-vous, appels à projets et à candidatures, ... Suivez toute l'actualité du doctorat et du post-doctorat en Normandie avec la communauté "DOC' in Normandie".
De 19:30 à 21:00
